Cas résolus

Cas résolus

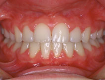
1. Primer caso.

Avant

Avant

Après

2. Segundo caso.

Avant

Avant

Après

3. Tercer caso.

Avant

Avant

Après

Instituto Dental S.L.P © 2026 Tous droits réservés . Numéro d'enregistrement sanitaire: 6203