
La Periodoncia
Es la especialidad de la odontología que se encarga de prevenir y tratar las enfermedades de las encías.
Enfermedades periodontales
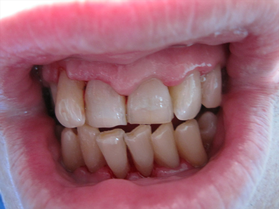
La GINGIVITIS es una inflamación de la encía.
Se manifiesta con enrojecimiento de las encías y sangrado al cepillado o espontáneo.
Generalmente se produce por acumulación de placa bacteriana que no se retira al cepillar los dientes. En este estadio, con una simple limpieza se trata la enfermedad si no puede evolucionar a una periodontitis.
La PERIODONTITIS O PIORREA afecta a los tejidos que rodean el diente. Provoca una destrucción progresiva del ligamento periodontal, de las encías y del hueso alveolar llegando a la formación de bolsas periodontales.
Es actualmente la causa más importante de movilidad y perdida dental.
Además de la base genética y de las bacterias hay factores secundarios asociados que aunque no producen la enfermedad afectan a su evolución son, el tabaquismo, el estrés, ciertas enfermedades sistémicas (diabetes e hipertensión), hábitos como el bruxismo y la forma de morder.
Señales para acudir al periodontista
- Encías enrojecidas
- Sangrado de encías espontáneo o al cepillado dental
- Mal olor en la boca (halitosis)
- Retracción de las encías
- Sensibilidad en los dientes a los alimentos fríos
- Movilidad dental
Es muy importante saber que una encia sana no sangra.
¿Cómo se diagnostican?
El síntoma más frecuente es el sangrado espontáneo o durante el cepillado aunque en pacientes fumadores es menos evidente.
Un examen clínico y radiográfico permite al periodontista hacer un diagnostico del tipo de infección y elaborar un plan de tratamiento personalizado para curar la periodontitis.
Tratamiento de la periodontitis
La periodontitis tiene tratamiento cuyo objetivo es frenar la enfermedad para evitar la pérdida de los dientes.
Una primera fase para desinflamar la encia y parar la enfermedad mediante eliminación mecánica con instrumentos ultrasonidos.
Se llama raspado o alisado radicular (incorrectamente denominado curetaje). Se puede realizar con anestesia local. La segunda fase de tratamiento se conoce como fase correctiva. Se accede a la bolsa periodontal y al hueso subyacente. Una vez terminado el tratamiento, el paciente entrara en el programa de visitas de mantenimiento periodontal que es al tratarse la periodontitis una enfermedad crónica requiere para el éxito a largo plazo del tratamiento unas visitas de control generalmente 2 o 3 veces al año.
Lo que hay que saber sobre la periodontitis
No va asociada a la edad
En España más de la mitad de la población tiene gingivitis y 1 de cada 3 personas mayores de 35 años tiene periodontitis.
Puede ser contagiosa a personas susceptibles.
La periodontitis tiene tratamiento.
HALITOSIS
El 90% de las causas de la halitosis o mal aliento se origina en la boca y no en el estomago, como se cree comúnmente.
Si es de origen oral puede estar relacionado con enfermedades periodontales: gingivitis y periodontitis.
El tratamiento de la halitosis mejora con el cepillado regular de los dientes, la utilización del hilo dental y la limpieza de la lengua.
El periodontista es el profesional más cualificado para definir el origen y las causas de la halitosis y eliminarlo.




