Solved cases

Solved cases

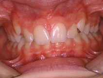
1. Primer caso.

Before

Before

After

2. Segundo caso.

Before

Before

After

3. Tercer caso.

Before

Before

After

Instituto Dental S.L.P © 2026 All rights reserved. Health registration nº: 6203